LAVA®
LAVA® Liquid Embolic System
2 mL and 6 mL vial options available
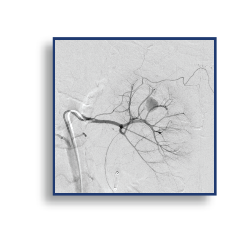
The LAVA Liquid Embolic System (LES) is The First and Only Liquid Embolic Approved for Peripheral Vasculature Hemorrhage.
LAVA provides the confidence to quickly stop bleeds results in controlled target vessel occlusion.
LAVA is available in a 2 mL vial and a 6 mL vial; both vials have an 18 or 34 viscosity option. These pre-mixed vials allow for both a proximal target embolization and a distal target embolization, providing options to reach the bleed. The 2 mL LAVA LES comes with two (2) 1 mL delivery syringes and the 6 mL LAVA LES offers six (6) 1 mL delivery syringes, enabling you multi-zone embolization options from 1 pre-mixed vial. An optional Mixing Kit is available to expedite the shaking of the vial, which suspends the radiopaque particles. The volume of the particles in LAVA has been designed to reduce flash for clear imaging.




Additional Product Information
References:
1. Based on clinical study on file (TPR-00913.01.A)
2. Yasumoto 2013, J Vasc Interv Radiol 2013;24:1798–1807
3. Based on data on file (TPR-01005.02.A)
4. Based on data on file: (TPR-00616.01.A and TPR-00499-02.A)
5. Data on file